辻歯科医院では、子どもの頃から、虫歯を予防し、歯を大切にする習慣を身につけてもらいたいと思っています。一人ひとりにあった虫歯になりにくいお口づくりをしていくことが必要です。虫歯のないお口は、心と体の健康の第一歩。子どもの頃からお口を大切にする習慣は、大人になってからもずっと健康で豊かな人生を送るためにとても大切です。私たちは来院されたお子さんが「楽しい!また来たい!」と思ってもらえるように笑顔で優しく千絵寧な対応を心掛けています。子供達の笑顔が私達の元気の源です。



辻歯科医院ではお子さまのこれからのお口を長期にわたり守り支え、お子様を歯医者嫌いにさせないように優しく丁寧な対応を大切にしています。
【トレーニング治療】
当院では初めて歯科治療を行うお子さまにユニット周りの器具に実際にさわっていただき、遊びながら歯科治療に慣れていただくようにしております。 緊急に治療が必要な場合でない限り、この方法をとらせていただきますので多少お時間をお取り頂くことになりますが、ご理解のほどお願いいたします。
5歳のお子さまから治療ができます。歯並びや咬み合わせは、お子さまの身体と心の成長とって重要な部分です。不安な事や費用面など何でもご相談ください。
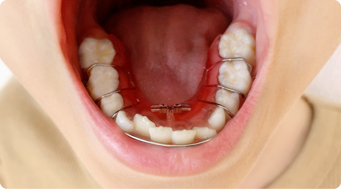
◆ 小児矯正の治療期間
小児矯正は、一般的に『第1期』と『第2期』に分かれますが、口腔内の状態等によって変わることもあります。お子様の年齢によって受けられる治療が変わる場合がござますので、きちんとお話を伺って治療方針をご提案させて頂きます。
第1期治療

顎を大きくし、骨格から調整する治療になります。拡大床を使用し、週一回ネジを回して顎を広げます。基本的には22時間の装着時間が必要になります。取り外し式の装置なので、ごはんや歯磨きの時など、外すことができます。状態によっては、第1期治療で矯正が完了するケースもございます。
第2期治療

第1期治療が終了し、全て永久歯に生え揃った12~13歳を目安に移行することができます。第2期治療では、歯を並べる治療になり「ブラケット」を使用します。一般的な金属製の「メタルブラケット」のほか、金属アレルギーでも安心して使える「セラミックブラケット」も選択可能です。
◆ 取扱マウスピースについて
【プレオルソ】
プレオルソは、やわらかいポリウレタン素材を使用し、フィット感が良く違和感や痛みが少ない矯正装置です。日本の子どもに最適なプリフォームタイプで、微調整が可能。日中1時間と就寝中のみの装着で、学校への持参不要。舌を自然に持ち上げ、機能改善をサポート。可撤式で清潔を保ちやすく、矯正治療の負担を軽減します。
【マイオブレース】
マイオブレース・システムは、早期予防矯正治療で、悪い歯並びの根本的原因に働きかけることを目的としています。ほとんどの場合、抜歯やブラケット矯正を行わずに自然な成長と発達を実現します。治療に最適な年齢は3~15歳で、口内に装着する取り外し可能な一連の器具を1日1時間と夜間就寝中に装着します。
| 相談 | 無料 |
|---|---|
| 検査料 | 10,000円 |
| 小児矯正 [ワイヤー矯正] |
第1期治療(両顎) 275,000円+調整料 月額3,300円 |
第2期治療(両顎) 275,000円+調整料 月額3,300円 ※ 1次治療から継続の患者様の場合 |
| 小児矯正 [マウスピース矯正] |
矯正一次治療 275,000円+調整料 月額3,300円 |
矯正二次治療 275,000円+調整料 月額3,300円 ※ 1次治療から継続の患者様の場合 |
| 部分矯正治療 | メタルブラケット [一歯につき]17,500円 |
セラミックブラケット [一歯につき]22,000円 |
| 矯正治療終了後の保定 | 保定装置(片顎)20,000円~ |
|---|
虫歯の治療を終えた方には、定期検診を強くおすすめしています。定期的な歯科検診を受けることで、虫歯や歯並びの問題を早期に発見し、適切な対策を講じることが可能になります。これにより、お子さまやお子さまの歯にかかる負担を最小限に抑えることができ、将来的な治療の必要性を減少させることが期待できます。特に、子どもたちの歯は成長過程にあり、乳歯から永久歯への生え変わりの時期には、歯並びや噛み合わせに影響を及ぼす可能性があるため、定期的なチェックが重要です。この時期に適切なケアを行うことで、歯の健康を維持し、将来的な矯正治療の必要性を軽減することができます。また、定期検診では、歯科医師が虫歯の有無を確認するだけでなく、歯の発育状況や口腔内の健康状態を総合的に評価します。これにより、早期に問題を発見し、必要に応じて適切な治療や予防策を講じることができるため、子どもたちの健やかな成長をサポートすることができます。したがって、虫歯の治療を終えた後も、定期的に歯科医院を訪れることが非常に重要です。
【お子様の歯並びが気になる親御さんへ】
お子様の歯並びや、それに伴う生活でのお困りごとなど、お気軽にご相談ください。小児歯科矯正の流れ、治療のメリット・デメリット等、丁寧にご説明いたします。
【お子様を褒めてあげてください】
治療や健診を頑張るお子様に『すごいね!』『きれいになるね!』とポジティブな言葉をかけてあげてください。親御さんやご家族の皆さんの声かけで、歯医者さんの印象が変わるお子様がいらっしゃいます。また、『頑張ることができた!』という自信にも繋がります。


